Monash University’s Dr Ryan Hoy – a research fellow and respiratory physician – first heard of the alarming new silicosis outbreak in Australia in 2015 through the case of a Vietnamese stonemason in New South Wales. Now, just four years later, the incurable disease is at epidemic levels, with young tradespeople either dying or having lung transplants. Both outcomes, Dr Hoy says, death or usually terminal illness, are “unnecessary”.
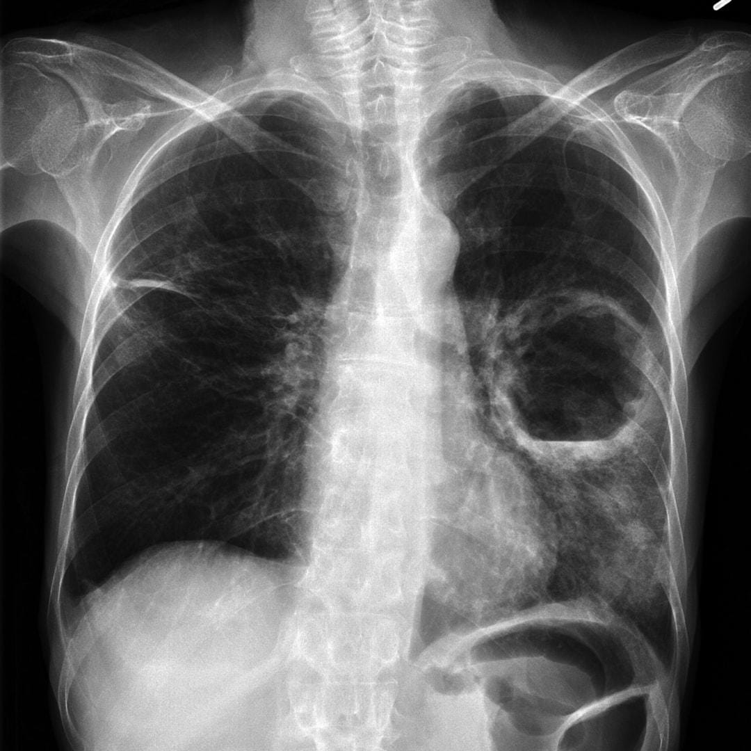
Silicosis is an 'occupational' lung disease. That is, you get it simply by doing your work – in this case by breathing in crystalline silica dust, causing lung inflammation and fibrosis, with no cure.
The sole cause of Australia’s disturbing new epidemic is the cutting of artificial stone to make benchtops – which are fashionable and relatively cheap, and often featured on renovation TV shows such as The Block.
The artificial stone, containing up to 95 per cent crystalline silica, is imported into Australia from countries including Israel and China, and then, once here, cut into blocks for sale. Marble has only 4 per cent silica. Crystalline silica is also used in making bricks, tiles and concrete.
Dr Hoy estimates the number with the disease might be as high as one third of the Australian artificial stone-cutting workforce of about 5000, plus those who have left the trade.
Workers using power tools to cut, grind or drill the product without adequate masks or cutting it dry rather than wet (with water) can be exposed to extremely high levels of silica dust, which scars the deepest parts of the lungs.
Silicosis is the new asbestosis
“I'm staggered by what's happened,” Dr Hoy, with Monash’s School of Public Health and Preventive Medicine, says.
“This is a product that has been coming into Australia since the early 2000s and contains very high silica levels – which is a clear red flag. It needs to be handled with extreme caution. It's a hazardous material.
“There is a huge question as to why the importers or the government agencies overseeing imports allowed this material to be introduced to workplaces in Australia without immediate identification of the associated risk.
“Talking to employers in the industry,” he says, “they really say they had no idea. Every material brought into the country has to have a safety data sheet describing the potential hazardous properties of the material.
“My feeling is it was probably inadequate. There has also been inadequate enforcement of the hazardous substances regulations around silica exposure limits in this industry.”
A relaxin approach
Monash’s Biomedicine Discovery Institute (BDI) is now tackling silicosis by testing a cunning little hormone that may provide the first effective treatment for it.
BDI’s Dr Jane Bourke, a lung disease expert, has been given funding (by law firm Maurice Blackburn, which is active in occupational lung disease claims) to try to find out whether the hormone relaxin could be a treatment. Dr Hoy will collaborate on the research.
Dr Bourke has already studied the effects of relaxin on asthma, and is now extending the study to silicosis. Relaxin is a pregnancy hormone already shown to have anti-fibrotic effects in the kidney and heart, and some other types of lung fibrosis not caused by silica. Dr Bourke's research in pre-clinical models shows it relaxes the airways, potentially making it easier to breathe.
Law firm Slater and Gordon recently revealed it will pursue a national class action against the manufacturers of artificial stone benchtops – the firm’s view is that the small number of manufacturers are responsible for the harm caused and should supplement affected workers’ compensation payments.
It cites Brunswick 29-year-old Joel Goldby, a former stonemason for 12 years, who has silicosis.
"Occupational lung diseases are completely preventable. We thought asbestosis was a massive tragedy that would never happen again – well, it’s happening again."
The ABC recently told the story of 22-year-old former stonemason Connor Downes, the youngest Queenslander to be diagnosed. He worked with artificial stone for just three years.
Slater and Gordon dust diseases lawyer Claire Setches says the silicosis epidemic is not just an Australian problem.
“We have known of the risk of silicosis since the 1700s. It was an old disease once thought eradicated, but now we've seen a re-emergence. The unusual thing now is that stonemasons are dying within three years of working with these fabricated stone benches.”
A hard road
About three years ago, Dr Hoy (through the Thoracic Society of Australia and New Zealand) and Ms Setches began lobbying state governments and government agencies to do something urgently.
“It’s been one of the most frustrating things a lot of us have been involved with,” Dr Hoy says. “When you see people in their 20s and 30s with entirely preventable lung disease that will possibly kill them, and to initially experience a slow government response to the problem, from a doctor's point of view, it has been extremely frustrating.”But their lobbying has, in part, paid off.
"It's unacceptable that in 2019 people will die because all they did was go to work."
In April, Victoria’s state government announced it had banned dry-cutting of the material at the estimated 300 workplaces in the state. Use of water to dampen the toxic dust is safer. The state government will also provide free health screenings for 1400 stonemasons, and host education seminars for the industry. It will also ensure WorkSafe has more powers to regulate the industry and visit workplaces.
On Wednesday, 31 July 31, Safe Work Australia, the national body that develops health and safety policy, announced that in three years' time it would cut the dust exposure limit from 0.1 milligrams per cubic metre over an eight-hour shift to 0.05 milligrams.
The Cancer Council of Australia and the state government wanted the limit set at 0.02 milligrams to bring it closer in line with international standards. In Japan, it's 0.03 milligrams per cubic metre, and in the United States 0.05.

Working for the workers
“I’ve been acting for dying workers for 20 years, and I’m tired of it,” says Ms Setches. “I don’t want to act for dying workers any more, and this was my chance to try and stop workers dying.
“Occupational lung diseases are completely preventable. We thought asbestosis was a massive tragedy that would never happen again – well, it’s happening again.
“I don’t think there were sufficient warnings of the high silica content. There was a general complacency about the dust. No one was there telling the workers of the dangers. So now we have a silicosis epidemic.”
The artificial stone in question is made by mining rocks, mixing it with a resin, and putting pigments through it to sell.
Slater and Gordon Practice Group Leader Margaret Kent said the major stone benchtop suppliers or manufacturers – Caesarstone, Quantum Quartz and Smartstone – did not adequately communicate the severe safety risks in relation to their products, or adequately convey the necessary safety precautions around its handling.
Dr Hoy says half of all benchtops in kitchens and bathrooms are now artificial stone, and based on the size of the market, Australia is the highest user in the world.
“There’s no safety issues having one in your house,” he says, “but the employers in this industry need to provide their workers a safe environment, and consumers need to know the potential cost to workers of choosing this material.
“It's unacceptable,” he says, “that in 2019 people will die because all they did was go to work.”
Find out more about this topic and study opportunities at the Graduate Study Expo